Life happens – whether it’s an accidental trip, an ill-fated bite into something crunchy, or one of those unexpected moments that leaves you thinking, “Oh no, not my tooth!” Breaking a tooth can feel overwhelming, but don’t worry – Wellington Point Dental is here to help. If you’re in Alexandra Hills, we’re just around the corner to fix that tooth and get your smile back on track. Let’s break it down (pun intended!) and talk about what to do if you’ve broken a tooth.
Stay Calm and Act Quickly
First things first: don’t panic! A broken tooth isn’t the end of the world, and acting quickly can make all the difference. Here’s what to do:
- Rinse your mouth with warm water to gently clean the area. This helps remove any debris and keeps things fresh.
- Control any bleeding by applying pressure with a clean piece of gauze or cloth until it stops.
- Reduce swelling by grabbing a cold pack (or even a bag of frozen peas) and pressing it against your cheek to ease swelling and discomfort.
- Protect the tooth by placing the broken fragment into a container with milk or saline solution and bringing it to your appointment.
Pro tip: Don’t skip step 4 – it could make a big difference in saving your tooth!
Common Culprits Behind Broken Teeth
Ever wondered why teeth seem to break at the worst times? Here are some usual suspects:
- Crunchy foods like ice or popcorn kernels.
- Sports and rough play where accidents can happen.
- Teeth grinding (clenching and grinding, often during sleep).
- Weakened teeth due to decay or old fillings.
Understanding the causes can help you avoid these pitfalls in the future.
How We Treat Broken Teeth at Wellington Point Dental
When it comes to fixing broken teeth, there’s no one-size-fits-all solution – and that’s a good thing! At our clinic near Alexandra Hills, we tailor treatments to your situation. Here’s what we might recommend:
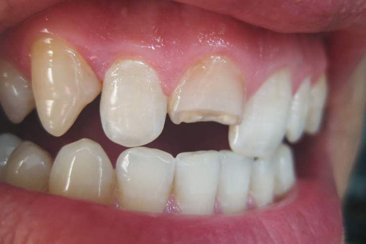
- For minor chips or cracks, dental bonding can fill in gaps and restore the tooth’s natural look.
- For moderate breaks, larger fractures might call for a crown to protect the tooth and bring back its full strength.
- For severe damage, if the tooth’s root or pulp is affected, we may perform root canal therapy before placing a crown.
- For missing fragments, when saving the tooth isn’t possible, options like dental implants or bridges can help restore your smile.
Our goal is to have you smiling confidently again as quickly and comfortably as possible.
Prevention is the Best Medicine
Accidents can’t always be avoided, but there are steps you can take to lower your chances of a broken tooth:
- Wear a mouthguard during sports or any activity where a stray ball (or elbow) could come into play.
- Skip the crunch by saying no to ice, hard candies, and other tooth-unfriendly snacks.
- Address grinding with a custom nightguard to protect your teeth if you grind or clench at night.
- Regular check-ups help us catch weak or decayed teeth before they become a problem.
Why Families in Alexandra Hills Trust Us
A dental emergency can be stressful, but we’re here to make the process as smooth and reassuring as possible. Here’s why patients love Wellington Point Dental:
- Same-day emergency care to prioritize your broken tooth and get you back to smiling fast.
- Personalised treatment because every smile is different, and we’ll create a plan that works for you.
- Compassionate team to put you at ease from start to finish, knowing a broken tooth can be nerve-wracking.
Don’t Wait – Let’s Get Your Smile Back on Track
If you’ve broken a tooth, don’t wait to get the care you need. Call Wellington Point Dental at 3207 3911 or book an appointment online today. Whether it’s a small chip or a big break, we’ll have your smile looking and feeling its best in no time.
At Wellington Point Dental, we’re not just fixing teeth – we’re here to take care of your whole family in Alexandra Hills.

