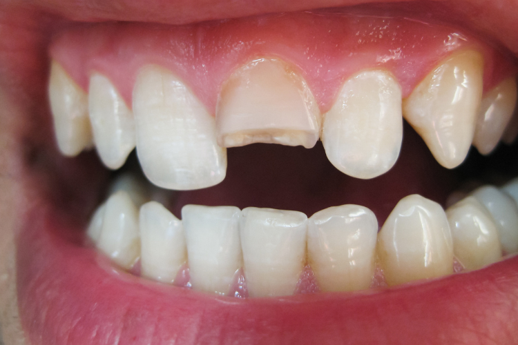
If you’ve ever experienced a chipped or broken tooth, you know how uncomfortable and concerning it can be. Whether caused by an accident, biting into something too hard, or simply wear and tear, damaged teeth can affect your smile and overall confidence (not to mention the panic that comes with an emergency dental situation).
At Wellington Point Dental, we offer a variety of effective solutions for restoring damaged teeth, tailored to meet your needs, all in close proximity to Birkdale.
Here are the primary treatments we can provide our patients needing tooth repair in Birkdale:
1. Dental Crowns to Repair Broken Teeth
Custom Fit: Crowns are carefully crafted to fit over your broken tooth, ensuring both strength and a natural appearance.
Restores Function: A crown helps restore the full function of your tooth, allowing you to eat, speak and smile confidently again.
Seamless Look: Our advanced techniques ensure your crown blends seamlessly with your natural teeth, so it looks just like your own.
At Wellington Point Dental, we understand that a broken tooth can be stressful, which is why we take every step to ensure your crown blends beautifully with your smile. You can rest easy knowing that the crown will restore both the function and aesthetics of your tooth, leaving you with a healthy, confident smile.
2. Dental Bonding to Repair Broken Teeth
For smaller chips, dental bonding can be a more appropriate solution.
Quick and Simple: Dental bonding is a fast, effective solution for smaller chips or cracks, designed to restore your tooth’s natural shape.
Tooth-Colored Resin: A tooth-coloured resin is carefully applied and molded to blend perfectly with your natural tooth for a seamless, beautiful result.
Non-Invasive: Bonding requires little to no preparation, making it a less invasive option for restoring your teeth. .
3. Porcelain Veneers to Repair Broken Teeth
Comprehensive Solution: Porcelain veneers are perfect for covering larger breaks or cracks, offering a full restoration for both function and aesthetics.
Custom-Made for You: These thin, durable shells are carefully crafted to fit over the front of your teeth, ensuring a perfect match with your smile.
Natural-Looking Results: Veneers are designed to look and feel like your natural teeth, so you can smile confidently again.
Comfort During Treatment: Our team will guide you through the process and ensure you feel relaxed and cared for throughout your visit.
4. Inlays and Onlays for Teeth Repair
Ideal for Moderate Damage: Inlays and onlays are great for teeth that have moderate damage, offering a reliable way to restore their strength and shape.
Custom-Made for You: These pieces are carefully designed to fit your tooth’s unique shape, ensuring a perfect, seamless fit.
Preserve Natural Structure: By preserving the tooth’s structure, inlays and onlays strengthen it while maintaining its natural look.
What to Expect When Repairing a Broken Tooth
Firstly, if you’ve broken a tooth, try not to panic—help is available.
At Wellington Point Dental, we offer a simple and straightforward process to restore your tooth or teeth, starting with an emergency dentistry consultation. During your visit, we’ll assess the extent of the damage and determine the best treatment option, whether it’s a crown, bonding, or veneer.
Depending on the severity of the break, we may also provide temporary relief, such as a protective covering, until the final restoration is complete.
If you need urgent or emergency dental care in Birkdale, visit our emergency dentist page to book in for treatment as soon as possible.
Why Choose Wellington Point Dental For Tooth Repair In Birkdale
Our compassionate team at Wellington Point Dental is dedicated to providing the highest level of care to help restore your smile.
We use the latest dental technology, ensuring accurate diagnoses and treatments that will leave you feeling comfortable and confident. Our team is always happy to discuss treatment options and guide you through the process, ensuring that your dental restoration experience is as stress and anxiety free as possible.
If you have a chipped or broken tooth, don’t wait!
We’re well equipped to restore chipped or broken teeth in the local Birkdale area. Our friendly team is ready to help, offering a caring, professional approach that prioritises your comfort and dental health.
Book Your Appointment Today!
Contact us at 3207 3911 or visit our website to schedule your consultation. Let us help you smile with confidence again!

